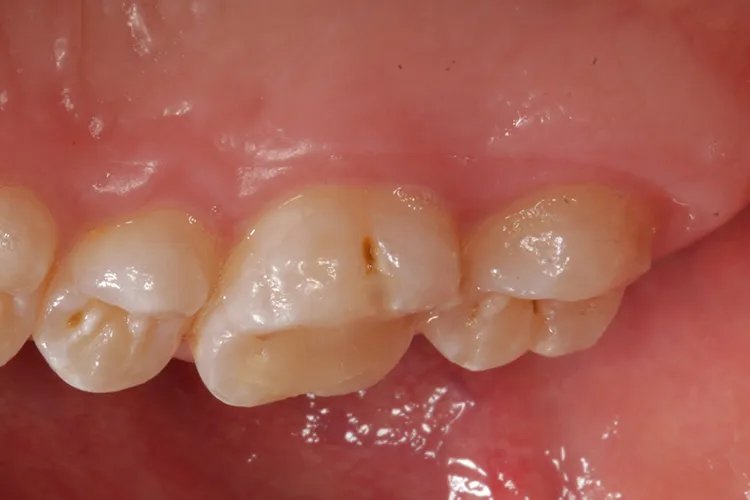
概述蛀牙牙虫在医学上称为龋齿,主要表现为坏牙颜色改变、外形缺损、质地改变以及患者感觉的变化。迄今为止龋齿的病因尚未完全研究清楚,但主要与致龋菌和致病的牙菌斑环境,同时口腔中含有细菌代谢的底物有关。症状坏牙颜色的改变病变部位表面粗糙,光泽消失,早期呈白恶色,进一步着色还可以呈棕黄色或黑褐色。

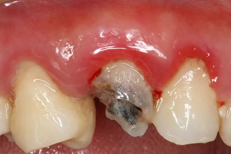
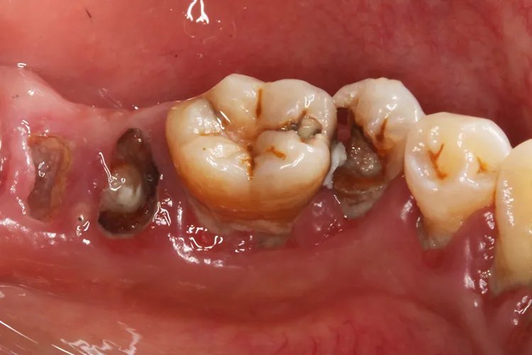
外形缺损是龋齿最显著的临床特征,形成了牙体组织的实质性缺损。临床上可以看到、探到或检查到龋洞。

质地的改变龋造成的牙体组织的实质性缺损称为龋洞。龋洞中充满感染脱矿的牙体组织和食物碎屑,质地松软,容易与正常组织区别。

患者感觉的变化当龋损发展到牙本质层并出现龋洞时,才有冷热刺激或食物崁塞时的敏感症状,但都是一过性的,刺激消失,症状随之消失。当龋发展至牙本质深层时,症状会明显一些。病因发生龋齿的原因主要是由于具备了致龋菌和致病的牙菌斑环境,同时口腔中含有细菌代谢的底物,当酸或致龋物质聚集到一定浓度并维持足够时间时,就会发生龋。诊断龋齿的诊断以患者对患牙的感觉为基础,对患牙进行检查。使用不同型号不同大小的探针,可以发现早期的窝沟龋和发生在邻面的龋。在视诊和探诊不能确定龋损的情况下,应拍摄X片。光学检查、电导检查、龋损组织化学染色等对龋齿的诊断也有一定的作用。治疗龋齿的治疗应对个案进行分析,制定治疗计划。考虑患者目前的主要问题,及时终止病变的发展,做好预防和保护。对于已经有龋洞应尽可能去除坏死组织,封闭龋洞,修复龋损,恢复功能。
